Beyin Omurilik Sıvısı Özellikleri ve Faydaları Nelerdir?
Beyin omurilik sıvısı (BOS), merkezi sinir sisteminin korunmasında ve beslenmesinde kritik bir rol oynar. Sıvının özellikleri, işlevleri ve sağladığı faydalar, sinir sistemi sağlığı açısından büyük önem taşır. Ayrıca, BOS analizi nörolojik hastalıkların teşhisinde önemli bir araçtır.
Beyin omurilik sıvısı (BOS), merkezi sinir sisteminin önemli bir bileşenidir. Bu sıvı, beyin ve omuriliği çevreleyerek koruma sağlamakla kalmaz, aynı zamanda birçok kritik işlevi yerine getirir. Beyin omurilik sıvısının özellikleri ve sağladığı faydalar, tıptaki önemi ve araştırmaların yönlendirilmesi açısından oldukça değerlidir. Beyin Omurilik Sıvısının ÖzellikleriBeyin omurilik sıvısı, çeşitli fiziksel ve kimyasal özelliklere sahiptir:
Bu özellikler, beyin omurilik sıvısının hem koruyucu hem de besleyici bir rol üstlenmesini sağlar. Beyin Omurilik Sıvısının FonksiyonlarıBeyin omurilik sıvısının birçok önemli fonksiyonu bulunmaktadır:
Bu işlevler, merkezi sinir sisteminin sağlıklı bir şekilde çalışabilmesi için kritik öneme sahiptir. Beyin Omurilik Sıvısının FaydalarıBeyin omurilik sıvısının sağladığı faydalar, kişinin genel sağlığı ve sinir sistemi fonksiyonları açısından oldukça önemlidir:
Bu faydalar, beyin omurilik sıvısının sadece fiziksel değil, aynı zamanda nörolojik sağlık açısından da önemli bir rol oynadığını göstermektedir. Beyin Omurilik Sıvısının AnaliziBeyin omurilik sıvısı analizi, sağlık profesyonelleri tarafından çeşitli hastalıkların teşhisinde kullanılan bir yöntemdir. Bu analiz, sıvının örneğinin spinal tap (lomber ponksiyon) yöntemiyle alınması ile gerçekleştirilir. Analiz sırasında dikkat edilen temel unsurlar şunlardır:
Bu analizler, hastalıkların teşhisi ve izlenmesi açısından kritik öneme sahiptir. SonuçBeyin omurilik sıvısı, merkezi sinir sisteminin sağlığı açısından hayati bir bileşendir. Koruyucu, besleyici ve destekleyici işlevleri ile beyin ve omuriliği korur. Ayrıca, sağlık profesyonelleri tarafından yapılan analizi, birçok nörolojik hastalığın teşhisinde önemli bir rol oynamaktadır. Beyin omurilik sıvısı hakkında daha fazla bilgi edinmek, merkezi sinir sisteminin işleyişini anlamak açısından büyük bir önem taşımaktadır. Ek olarak, beyin omurilik sıvısının bozulması, çeşitli sağlık sorunlarına yol açabilir. Bu nedenle, beyin ve omurilik sağlığını korumak için düzenli tıbbi kontroller ve sağlıklı yaşam tarzı önerileri dikkate alınmalıdır. |















































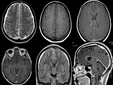
Beyin omurilik sıvısındaki miktar artışı nedeniyle hidrosefali gelişen bir hastanın yakını olarak, bu durumun tedavi edilmezse uzun vadede hangi komplikasyonlara yol açabileceğini öğrenmek istiyorum. Beyin dokusunda baskı oluştuğunda hastamın yaşam kalitesi nasıl etkilenir?
Merhaba Nazret,
Hidrosefali tedavi edilmezse, beyin omurilik sıvısının (BOS) birikmesi nedeniyle beyin dokusunda baskı oluşur ve bu durum çeşitli komplikasyonlara yol açabilir. Uzun vadede, hidrosefali ciddi nörolojik sorunlara neden olabilir. Bunlar arasında motor fonksiyon bozuklukları, yürüyüş problemleri, denge kaybı, görme ve işitme sorunları, bilişsel gerileme ve hafıza kaybı sayılabilir. Ayrıca, hastanın yaşam kalitesi önemli ölçüde düşebilir; günlük aktivitelerini yerine getirme yeteneğinde azalma, sürekli baş ağrıları, bulantı ve yorgunluk gibi belirtiler ortaya çıkabilir.
Tedavi edilmediğinde, bu durum ilerleyerek daha ciddi sağlık problemlerine neden olabilir ve hatta yaşamı tehdit edebilir. Bu yüzden, bir uzmanla görüşerek uygun tedavi yöntemlerinin değerlendirilmesi ve uygulanması büyük önem taşır.